Wygoda lekarza I pacjenta
Zaokrąglone rogi i płaski kształt zmniejszają dyskomfort pacjenta, a długi – 3 metrowy przewód podłączany bezpośrednio do USB oraz biała obwódka na sensorze sprawiają, że umieszczenie czujnika w odpowiednim miejscu jamy ustnej jest jeszcze łatwiejsze.
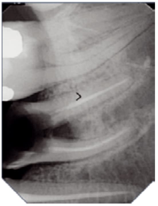
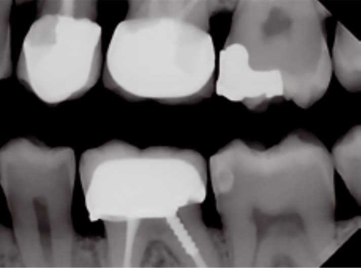
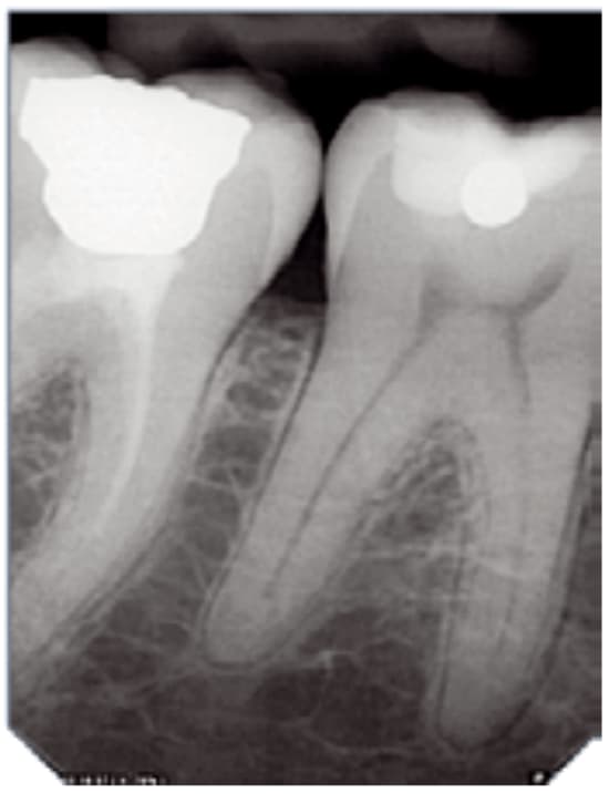
Wysoka rozdzielczość zapewnia dokładną i niezawodną diagnostykę. Technologia wielowarstwowa zapewnia obrazy o niskim poziomie szumów i z wyjątkową ostrością – w zaledwie kilka sekund.
SOPRO® Imaging
Prostota oraz intuicyjność użytkowania oprogramowania SOPRO® Imaging sprawia, że obrazowanie wewnątrzustne jest łatwe i przyjemne zarówno dla użytkowników systemu Windows jak i MAC IOS.
Kompatybilny z każdym oprogramowaniem
Dzięki obsłudze protokołu TWAIN, czujnik U-SENSE może współpracować z oprogramowaniem każdego liczącego się producenta. Radiowizjografia ACTEON® może być stosowana zamiast dotychczasowego czujnika innej firmy z zachowaniem bazy klientów i wcześniejszej funkcjonalności.
