X-MIND® optima

Najbardziej kompaktowy i intuicyjny aparat CBCT na rynku oferujący dożywotni, bezpłatny dostęp do wsparcia sztucznej inteligencji!

W dynamicznie rozwijającym się świecie stomatologii integracja technologii CBCT z rozwiązaniami opartymi na sztucznej inteligencji zmienia standardy opieki nad pacjentem. Pozwala stomatologom na dokładniejsze diagnozy oraz przeprowadzanie bardziej bezpiecznych i precyzyjnych zabiegów.

Najbardziej kompaktowy i intuicyjny aparat CBCT na rynku oferujący dożywotni, bezpłatny dostęp do wsparcia sztucznej inteligencji!

W dynamicznie rozwijającym się świecie stomatologii integracja technologii CBCT z rozwiązaniami opartymi na sztucznej inteligencji zmienia standardy opieki nad pacjentem. Pozwala stomatologom na dokładniejsze diagnozy oraz przeprowadzanie bardziej bezpiecznych i precyzyjnych zabiegów.

X-MIND® optima to połączenie nowoczesnych technologii w lekkiej, kompaktowej konstrukcji z innowacyjnym, łatwym w obsłudze oprogramowaniem RealGuide™ 5.4. Dzięki wykorzystaniu sztucznej inteligencji rozwiązanie to wspiera stomatologów na każdym etapie pracy – od precyzyjnej diagnozy, przez efektywne planowanie leczenia, aż po optymalizację wydajności pracy gabinetów stomatologicznych i usprawnienie komunikacji z pacjentami.

Tomograf X-MIND® optima stworzony został w zgodzie z filozofią ACTEON polegającą na rozwijaniu innowacyjnych rozwiązań zorientowanych na użytkownika, dostosowanych do jego indywidualnych potrzeb. Dzięki prostej konstrukcji i filozofii „bez zajmowania podłogi”, umożliwia łatwą instalację w większości gabinetów stomatologicznych, minimalizując ograniczenia przestrzenne i maksymalizując dostępność.

X-MIND® optima – wyjątkowa wszechstronność

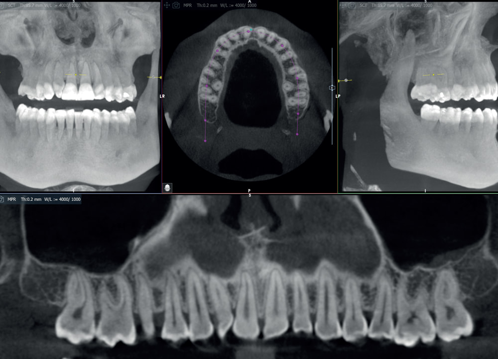
Kluczowym elementem X-MIND® optima jest detektor obsługujący rozdzielność 70 μm (w polu endodontycznym), który w połączeniu z rozszerzonym zakresem napięcia na lampie (do 90 kV) oraz najnowszą technologią IGZO Flat Panel*, zapewnia niezwykłą klarowność obrazu i doskonałe odwzorowanie anatomii pacjenta.

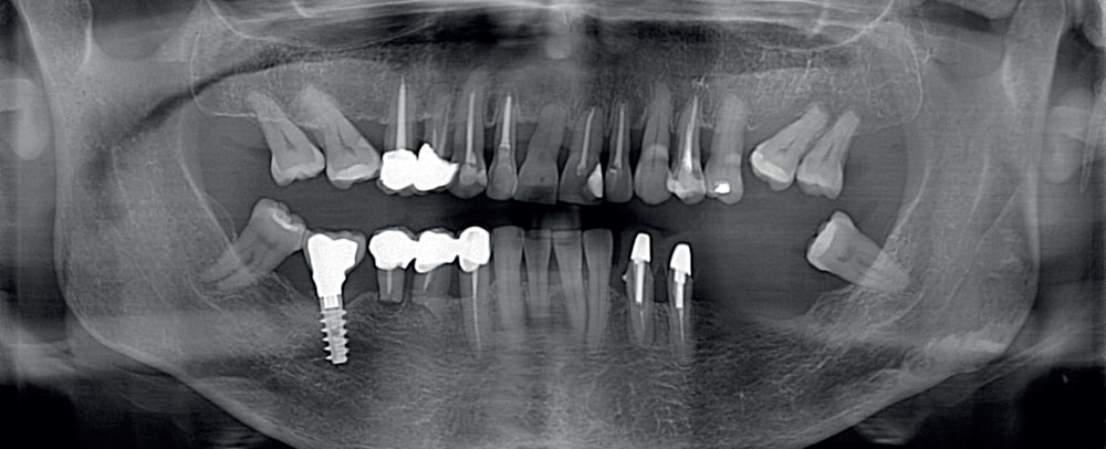
Dzięki szerokiemu zakresowi pól obrazowania (FOV) od 5×5 cm do 17×12 cm (Ø x H), urządzenie znajduje zastosowanie w różnorodnych zabiegach stomatologicznych – sprawdzi się zarówno w stomatologii ogólnej, jak i w specjalistycznych dziedzinach, takich jak implantologia, endodoncja, ortodoncja czy chirurgia szczękowo-twarzowa.

X-MIND® optima zapewnia większą tolerancję na ewentualne nieprawidłowości w pozycjonowaniu pacjenta oraz minimalizuje ryzyko artefaktów brzeżnych, co podnosi jakość diagnostyki i komfort pracy specjalistów.

*dowiedz się więcej o przewagach technologii IGZO Flat Panel: https://pubmed.ncbi.nlm.nih.gov/35363391/

FOV 5×5 cm 

Poprawia wykrywanie kanałów korzeniowych, szczególnie w przypadku kanałów o nieprawidłowym kształcie.

FOV 8,5×5 cm 

Przydatne w chirurgii implantologicznej i w stomatologii ogólnej jako badanie ograniczone do pojedynczej szczęki.

FOV 8,5×9 cm 

Przydatne w przypadku skomplikowanych zabiegów implantologicznych, a także diagnostyki stawu skroniowo-żuchwowego po stronie lewej lub prawej.

FOV 12×10 cm 

Stosowany w większości przypadków zabiegów z obszaru chirurgii jamy ustnej, w tym jednocznesnego wszczepiania wielu implantów.

NOWOŚĆ FOV 17×12 cm 

Idealne rozwiązanie dla skomplikowanych przypadków ortognatycznych, planowania implantów jarzmowych i chirurgii ortodontycznej.

Wspierany przez AI

X-MIND® optima łączy zaawansowaną technologię sprzętową z oprogramowaniem nowej generacji RealGUIDE 5.4, wprowadzając zalety sztucznej inteligencji do każdego etapu opieki nad pacjentem.

Oprogramowanie RealGuide 5.4 wykorzystuje technologię AI, aby maksymalnie ułatwić i usprawnić pracę lekarzom na każdym etapie leczenia implantoprotetycznego, zapewniając lepszą komunikację z pacjentami, budując zaufanie i poprawiając wskaźniki akceptacji leczenia.

Upraszczając złożone zadania i automatyzując kluczowe procesy, oprogramowanie usprawnia cały proces, umożliwiając szybsze i dokładniejsze planowanie leczenia.

Wykrywanie łuku zębowego

Śledzenie przebiegu nerwu

Segmentacja zębów

Segmentacja kości

Pozycjonowanie implantu

Projektowanie uśmiechu

Automatyczne wykrywanie problemów i generowanie opisów na zdjęciach panoramicznych

X-MIND® optima jest również zintegrowany z WeDiagnostix – intuicyjnym i ultraszybkim oprogramowaniem AI wspierającym radiologię stomatologiczną.

Sztuczna inteligencja wediagnostix jest wynikiem ciągłych badań i rozwoju oraz sieci neuronowych trenowanych na 90 000 zębów, 81 000 zabiegów, 40 000 patologii. Osiąga wyniki detekcji, które wcześniej nie były możliwe w stomatologii. Na podstawie analizy wczytanych zdjęć:

  • w ciągu kilku sekund zaznacza na ekranie patologie zębowe i pozazębowe,
  • eliminuje wszelkie błędy interpretacyjne człowieka, wykrywa patologie słabo widoczne gołym okiem lub mogące umknąć uwadze,
  • dostarcza gotowy, kompleksowy i zawsze edytowalny raport, gwarantując wyniki zgodne z wymogami prawnymi.

1) Ładowanie zdjęcia pacjenta jednym kliknięciem

Eksport zdjęć rentgenowskich do WeDiagnostix bezpośrednio z oprogramowania do obsługi tomografu lub zarządzania pacjentami.

2) Wykrywanie problemów klinicznych

Potencjalne obszary problemowe są wyróżnione, ale nie zasłaniają obrazu, aby nie zakłócać oceny lekarza.

3) Analiza obszarów i wybór, co pokazać pacjentowi

Wybrane obszary oznaczone są kolorami ułatwiającymi analizę i zrozumienie wagi problemu przez pacjenta.

4) Opis całego zdjęcia rentgenowskiego

Z uwzględnieniem obszarów patologii pozazębowych.

5) Generowanie raportu

Gotowy raport można wyeksportować do oprogramowania do zarządzania pacjentami lub oprogramowania radiologicznego, jak również wygodnie wydrukować lub wysłać do współpracowników/pacjenta.

CHCESZ WIEDZIEĆ WIĘCEJ O WeDiagnostix? KLIKNIJ TUTAJ

  • najbardziej rozbudowane oprogramowanie do planowania implantacji
  • wyjątkowo prosta konstrukcja i obsługa
  • dożywotnie darmowe AI w 3D m.in.:
    • wykrywanie łuku zębowego,
    • wykrywanie kanału żuchwy,
    • segmentacja kości i zębów
  • rok bezpłatnego użytkowania AI w 2D – wykrywanie i opis problemów klinicznych na zdjęciach panoramicznych
  • zmienne pole obrazowania od 5×5 aż do 17×12 cm
  • rozdzielczość 70 mikronów w polu endodontycznym
  • 90 kV napięcia na lampie
  • 16 bitów sensora w technologii IGZO Flat Panel
  • oddzielny sensor do badań cefalometrycznych

Dodatkowe informacje

Masz pytanie? Potrzebujesz pomocy? Napisz do nas!

Formularz kontaktowy