Wysoka rozdzielczość dla doskonałej jakości

NICAL SMART MICRO plus+

NICAL SMART MICRO plus+ to najbardziej optymalne rozwiązanie do gabinetu. Zapewnienia doskonałą jakość obrazu nawet w przypadku małych płytek. Zapewnia łatwy proces skanowania, dzięki automatycznemu, bezawaryjnemu podajnikowi, który wykrywa rozmiar płytki, skanuje ją oraz przygotowuje do ponownego zastosowania. Oprogramowanie jest intuicyjne w obsłudze i oferuje szeroką gamę funkcjonalności (m.in. gradacja, różne opcje filtrów, pakiety pomiarowe, powiększenia, inwersja, szkło powiększające, eksport do formatu JPEG/DICOM i wiele więcej).

NICAL SMART MICRO plus+ to najbardziej optymalne rozwiązanie do gabinetu. Zapewnienia doskonałą jakość obrazu nawet w przypadku małych płytek. Zapewnia łatwy proces skanowania, dzięki automatycznemu, bezawaryjnemu podajnikowi, który wykrywa rozmiar płytki, skanuje ją oraz przygotowuje do ponownego zastosowania. Oprogramowanie jest intuicyjne w obsłudze i oferuje szeroką gamę funkcjonalności (m.in. gradacja, różne opcje filtrów, pakiety pomiarowe, powiększenia, inwersja, szkło powiększające, eksport do formatu JPEG/DICOM i wiele więcej).

Optymalny przepływ pracy połączony z szybkim i wysokiej jakości obrazem, aby wykorzystać pełny potencjał Twojej praktyki.

Magnetyczne płytki fosforowe

Łatwe w obsłudze i mogą być używane tysiące razy. Co więcej, bezprzewodowe płytki fosforowe umożliwiają precyzyjne pozycjonowanie. Nie są wymagane żadne nakładki czy prowadnice płytek, a urządzenie może również skanować rozmiar 4c, czyli rozmiar pomiędzy 3 a 4. Płytki są magnetyczne, co oznacza, że nie ma rolek do ich transportowania, więc nie dochodzi do poślizgów i powstawania artefaktów na obrazach. Nic nie dotyka płytek podczas wchodzenia i wychodzenia. Płytki wychodzą tam, gdzie wchodzą i nie są przeciągane przez system.
Możesz wybrać używanie naszych osłon ochronnych na światło, aby zapobiec utracie danych w przypadku ekspozycji na światło, lub z nich zrezygnować, aby uzyskać jeszcze szybsze odczyty w ciemniejszym pomieszczeniu.

Główne zalety skanera SMART MICRO plus+

  • Minimalistyczna konstrukcja o niewielkich wymiarach (250x190x283 mm) pasuje do każdego małego gabinetu weterynaryjnego.
  • Obrazy mogą być wyświetlane w gabinetach konsultacyjnych na dziesięciu komputerach, dzięki oprogramowaniu sieciowemu.
  • Obsługuje duży rozmiar płytki 4 oraz daje wysoką jakość skanowanego obrazu przy niewygórowanej cenie urządzenia.
  • Urządzenie może skanować z 2 prędkościami i jest szybsze niż jakikolwiek model znany na rynku.

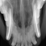
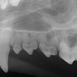
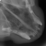
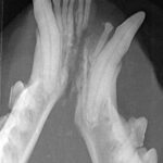
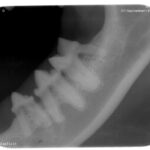
Doskonała jakość obrazu

Dzięki opatentowanemu przewodnikowi światła, SMART MICRO plus+ zapewnia doskonałą rozdzielczość przestrzenną i kontrastową.

Wbudowana pamięć

Wewnętrzna pamięć urządzenia eliminuje możliwość utraty obrazu w przypadku awarii sieci lub nieoczekiwanego wyłączenia komputera.

Certyfikowana jakość

Precyzyjnie wykonany we Włoszech, SMART MICRO plus+ jest objęty dwuletnią gwarancją i wsparciem technicznym.

Optymalny przepływ pracy

Obrazy automatycznie wyświetlają się na ekranie komputera, bez konieczności podejmowania dodatkowych działań. Płytki są automatycznie wymazywane po każdym skanowaniu i gotowe do ponownego użycia.

Wyjątkowa użyteczność

W pełni automatyczne wkładanie, odczyt i wyświetlanie płytek. Dzięki SMART MICRO plus+ będziesz w stanie zminimalizować błędy i pracować bardziej efektywnie niż kiedykolwiek wcześniej.

W zestawie:
• skaner płytek obrazowych SMART MICRO plus+ i oprogramowanie Nical Image Plus Vet.
• wysokiej rozdzielczości płytki obrazowe wielokrotnego użytku w rozmiarach:
#1 (2 szt.), #2 (2 szt.), #3 (1 szt.) oraz #4 (1 szt.).
• osłony ochronne na światło w rozmiarach: #1 (20 szt.), #2 (20 szt.), #3 (10 szt.) oraz #4 (10 szt.).
• woreczki higieniczne w rozmiarach: #1 (50 szt.),# 2 (50 szt.), #3 (25 szt.) oraz #4 (25 szt.).
• plastikowy ochraniacz przed zanieczyszczeniami i kurzem.
• 2-letnia gwarancja z technicznym wsparciem.

Dodatkowe informacje

vet-produkty
Nical SMART MICRO mega
vet-produkty
NICAL SMART MICRO plus+

Poznaj nasze produkty

Umów się na prezentację

    Interesuje mnie produkt: