Geistlich Bio-Oss® Collagen składa się w 90% z granulek Geistlich Bio-Oss® oraz w 10% z kolagenu wieprzowego. Dziewięćdziesięcio-procentowa zawartość cząsteczek Geistlich Bio-Oss® sprawia, że Geistlich Bio-Oss® Collagen posiada wszystkie zalety potwierdzonego naukowo biomateriału w stomatologii regeneracyjnej.
Dodatkowe 10% kolagenu wieprzowego sprawia, że jest on plastyczny i łatwy w obsłudze. Jego regeneracyjny potencjał wyróżnia Geistlich Bio-Oss® od zwykłych wypełnień kolagenowych.
Geistlich Bio-Oss® Collagen używany jest w bardzo zróżnicowanych przypadkach, między innymi do: utrzymania wału dziąsłowego, niewielkich augmentacji kości oraz regeneracji przyzębia. Kolagen absorbowany jest po kilku tygodniach i nie zastępuje funkcji barierowej membrany.

- Dodany kolagen w Geistlich Bio-Oss® Collagen usprawnia manipulowanie materiałem i dopasowanie go do morfologii wady.
- Cząsteczki Geistlich Bio-Oss® służą jako rusztowanie dla nowej kości oraz zapewniają przewidywalną regenerację kości.
- Wypełniona tkanka Geistlich Bio-Oss® Collagen w długiej perspektywie zachowuje stabilną wielkość, dzięki niskiej resorpcji materiału.
- Geistlich Bio-Oss® Collagen znacząco polepsza kliniczną przyczepność oraz głębokość kieszeni przy zabiegach periodontologicznych.
- Geistlich Bio-Oss® Collagen ma zdolność do stwarzania odpowiednich warunków dla regeneracji przyczepności periodonologicznej przy ubytku śródkostnym.
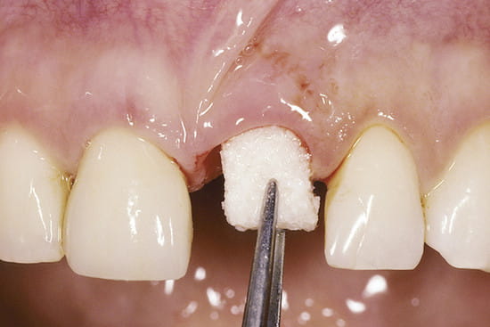
Manipulowanie materiałem jest ulepszone, dzięki dodaniu 10% kolagenu. Bloczek Geistlich Bio-Oss® Collagen jest łatwy do modelowania oraz dobrze przykleja się do powierzchni uszkodzonego miejsca.
Oglądaj
- Dodany kolagen w Geistlich Bio-Oss® Collagen usprawnia manipulowanie materiałem i dopasowanie go do morfologii wady.
- Cząsteczki Geistlich Bio-Oss® służą jako rusztowanie dla nowej kości oraz zapewniają przewidywalną regenerację kości.
- Wypełniona tkanka Geistlich Bio-Oss® Collagen w długiej perspektywie zachowuje stabilną wielkość, dzięki niskiej resorpcji materiału.
- Geistlich Bio-Oss® Collagen znacząco polepsza kliniczną przyczepność oraz głębokość kieszeni przy zabiegach periodontologicznych.
- Geistlich Bio-Oss® Collagen ma zdolność do stwarzania odpowiednich warunków dla regeneracji przyczepności periodonologicznej przy ubytku śródkostnym.
Manipulowanie materiałem jest ulepszone, dzięki dodaniu 10% kolagenu. Bloczek Geistlich Bio-Oss® Collagen jest łatwy do modelowania oraz dobrze przykleja się do powierzchni uszkodzonego miejsca.
Zastosowanie:
Przygotowanie Geistlich Bio-Oss® Collagen jest proste:
- Przytnij bloczek Geistlich Bio-Oss® Collagen do odpowiedniego kształtu.
- Używaj na sucho bądź na wilgotno z solą fizjologiczną.
- Jeśli bloczek jest wilgotny – uformuj potrzebny kształt.
- Umieść w jamie ustnej kleszczami.
- Unikaj niepotrzebnego nacisku.

Geistlich Bio-Oss® Collagen może być przycinany na sucho bądź na mokro skalpelem lub nożyczkami.

Geistlich Bio-Oss® Collagen może być namoczony solą fizjologiczną…

…lub krwią pacjenta.

Geistlich Bio-Oss® Collagen może być łatwo umiejscowiony w ubytku kleszczami, aby zachować kształt brzegu. Niepotrzebny ucisk powinien być unikany.
(zabieg kliniczny wykonany przez Prof. Ronald Jung, Zurych, Szwajcaria).