Geistlich Bio-Gide® Shape jest uprzednio przyciętą membraną kolagenową stworzoną do leczenia zębodołu poekstrakcyjnego. Nowa membrana bazuje na technologii Geistlich Bio-Gide® Perio: większa sztywność pozwala na dłuższy czas pracy z materiałem dla jego dokładniejszego umiejscowienia – to duży wzrost komfortu pracy.
- Wygodna: nowy kształt specjalnie zaprojektowany dla zachowania grzbietu
- Łatwa w obsłudze i aplikacji: technologia Geistlich Bio-Gide® Perio dla większej sztywności
- Gotowa do użycia: skraca czas przygotowania do zabiegu
- Znacznie większy stopień formowania się kości, gdy membrana Geistlich Bio-Gide® użyta jest do zabezpieczenia Geistlich Bio-Oss® w uszkodzonym zębodole poekstrakcyjnym.
Zachowanie grzbietu: przewidywalne rozwiązanie
Z biomateriałami Geistlich znacznie większa objętości grzbietu zostaje zachowana po 4 miesiącach od ekstrakcji zęba.
Spontaniczne leczenie
- Około 50% objętości wyrostka zębodołowego jest utracona po 6 miesiącach (poziomo 29-63%, pionowo 11-22%).
- Bez wsparcia kości, tkanka policzkowa oraz tkanka miękka w zębodole zapada się. Naturalna formacja nowej kości w zębodole nie kompensuje utraty objętości wyrostka zębodołowego.
Zachowanie grzbietu z Geistlich Bio-Oss® oraz Geistlich Bio-Gide®
- Zapobiega dalszej augmentacji kości w miejscu implantu w ponad 90% przypadków.
- Osiąga kontur grzbietu, który pozwala na łatwiejsze wstawienie implantu lub służy jako wystarczająca baza do odnowienia grzbietu.
Spontaniczne gojenie się
Spontaniczne gojenie się: bez kości wspomagającej, tkanka policzkowa oraz wargowa opada.
Utrzymanie grzbietu
Utrzymanie grzbietu z Geistlich Bio-Oss® Collagen i Geistlich Bio-Gide®.
Zastosowanie:
Membrana Geistlich Bio-Gide® Shape powinna być zawsze użyta z substytutem kości takim jak Geistlich Bio-Oss® lub Geistlich Bio-Oss®Collagen. Aplikacja membrany Geistlich Bio-Gide® Shape jest łatwa:
- Ząb zostaje usunięty i podjęte zostają standardowe procedury chirurgiczne (kiretaż, deepitelizacja itp.).
- Długi pasek Geistlich Bio-Gide® Shape powinien zostać umieszczony tak, aby zakryć ubytek kostny w kieszonce, jeśli wystąpił. Tym samym gęsta powierzchnia membrany powinna zostać skierowana ku tkance miękkiej, a szorstka powierzchnia w stronę ubytku.
- Należy umieścić membranę bez uprzedniego zwilżenia w zębodole poekstrakcyjnym.
- Ubytek wypełniony jest materiałem kościozastępczym, takim jak autologiczna kość, bądź jej substytut (na przykład Geistlich Bio-Oss®/Geistlich Bio-Oss® Collagen).
- Aby zamknąć zębodół, oba skrzydełka membrany Geistlich Bio-Gide® Shape powinny być zawinięte pod błoną śluzową, umiejscowione mezjalnie i dystalnie od kieszonki ubytku.
- Górne skrzydełko powinno być zawinięte językowo/podniebieniowo pomiędzy tkankę miękką a ścianę kości.
- Przytwierdzenie membrany (np. szwem materacowym) na górze jest wskazane, aby uniknąć jej przemieszczania w skutek obciążenia ścinającego lub mobilizacji.
Ogólne zasady sterylnego obchodzenia się z membraną oraz zażywania leków przez pacjenta powinny być przestrzegane, kiedy używa się Geistlich Bio-Gide® Shape.
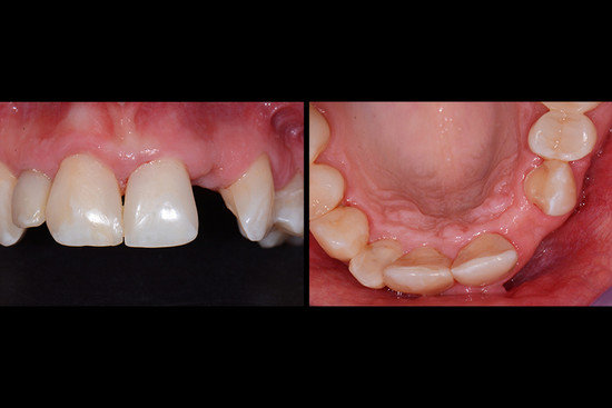
Atraumatyczna ekstrakcja zęba 22 z Benex® Extraction Kit.
Kontrola kieszonki poekstrakcyjnej sondą periodontologiczną pokazuje policzkową utratę kości.
Natywna dwuwarstwowa membrana kolagenowa* jest umieszczona policzkowo na wewnętrznej ścianie dziąsłowej, lekko wystając z kości wyrostka zębodołowego.
Geistlich Bio-Oss® Collagen wypełnia kieszeń aż do wysokości tkanki miękkiej. Pomocne może być pocięcie Geistlich Bio-Oss® Collagen i umieszczanie go w kieszonce kawałek po kawałku.
Kieszeń zamykana jest natywną dwuwarstwową membraną kolagenową. Wypełnione miejsce jest ustabilizowane bez naprężeń, dzięki krzyżowemu szyciu.
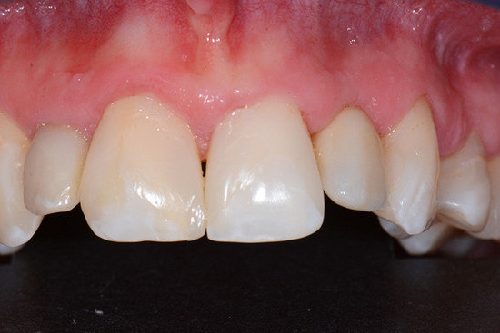
Sytuacja kliniczna 3 miesiące po ekstrakcji zęba.
Odbudowa z protezą przytwierdzaną żywicą po 3 miesiącach od ekstrakcji zęba.
*W tym przypadku Geistlich Bio-Gide® Perio (16×22 mm) przycięty był do kształtu Geistlich Bio-Gide® Shape.
